Lady Windermere’s Scan
Healing My Mom with Chlorine Dioxide (MMS), a.k.a. the Pharma Killer
Merry Christmas (or merry Thursday for those who don’t celebrate it), dear readers! Last Christmas Eve, I shared my mom’s distressing diagnosis of Pseudomonas along with her pulmonologist’s attempt to treat it with ciprofloxacin, an antibiotic with an extremely high risk profile. I leapt into research, consultation, and advocacy mode and wound up discovering—thanks to the heroic Dr. Pierre Kory—she had been misdiagnosed and thus did not need the cipro. Pierre and I embarked on a medical-mystery–solving adventure, both arriving at the same new diagnosis, Lady Windermere syndrome (MAI/MAC/NTMB), whose name comes from the Oscar Wilde play Lady Windermere’s Fan. I then studied chlorine dioxide (MMS) as a potential alternative treatment protocol. Below is what has ensued since last Christmas.
“I’ve been thinking maybe I should just go ahead with the cipro and then go to the hospital if I have problems with that,” my mom said weakly between coughs.
It was New Year’s Eve 2024, and I had taken her to an organic spa to try halotherapy along with a steam bath and sauna, all three of which are supposed to help fight lung infections.
As soon as my mom laid down in the Himalayan salt room, she started coughing.
I gave her my pillow and tried to prop her up at an angle, but it didn’t help. She sat up, still coughing.
We tried the steam room for a few minutes, but the heat was too much for her.
Then we entered the sauna, which felt cool by comparison. We sat there for a few minutes as my mom continued coughing.
I had paid for hourlong passes, and we still had twenty minutes to kill.
“Do you want to go back to the Himalayan salt room and just sit up?” I asked.
She nodded. We resumed the halotherapy, which simply entailed inhaling the Himalayan salt–infused air.
That’s when my mom confessed she’d been considering taking her pulmonologist’s advice to try ciprofloxacin for the Pseudomonas infection he’d diagnosed. If that failed, she was contemplating a weeklong hospital stay on IV antibiotics as a backup—despite all she’d learned about the dangers of cipro, which is in the same family as levofloxacin, an antibiotic she’d previously had an adverse reaction to. And this was after a series of gobsmacking synchronicities had led me to arrive at a new likely diagnosis of Lady Windermere syndrome in consultation with Dr. Pierre Kory along with a highly promising alternative treatment protocol.
“I just feel like I’m getting worse and worse, and now I’m starting to feel like I did before I went to the hospital,” she said, referring to a summer 2018 hospital stay for pneumonia and SIRS (systemic inflammatory response syndrome) triggered by a lupus flareup.
“I used to be able to do things in the mornings, but now I’m starting to feel this way all the time,” she lamented.
Mornings were her only window of functionality. Coughing fits would besiege her in the afternoons and evenings, leaving her too exhausted to do much.
I knew I hadn’t a moment to spare. I dialed Pierre from the Himalayan salt room, leaving a voicemail saying my mom was feeling desperate enough to consider either taking cipro or going to the hospital for IV antibiotics.
We still had a few minutes left on our wellness pass, but my mom was clearly miserable.
“Do you want to go home?” I asked.
“Yes,” she said, trying not to cough.
A melancholy cloud hovered over us on the drive home.
“Do you want to try nebulizing hydrogen peroxide?” I asked.
At the recommendation of a well-informed reader who nebulizes food-grade H2O2 daily and whose son had recovered rapidly from bronchitis following this treatment, I had listened to the audiobook of The One-Minute Cure: The Secret to Healing Virtually All Diseases and had given my mom the paperback for Christmas.
“Okay,” she said.
We headed back to my house, where I set up the nebulizer and played an instructional video by Dr. Jane Ruby followed by another one by Dr. David Jockers.
She sat down and began inhaling. Every breath provoked a cascade of coughs, but she persisted for five minutes.
I was worried it was making her worse.
“Do you want to stop now?” I asked.
“Okay,” she said, punctuated by several coughs.
Afterward, she continued to cough. I made her a cup of throat relief tea.
“I’m sorry,” I said, feeling like I’d made things worse.
“Everything makes me cough,” she explained, indicating it wasn’t the nebulization but simply inhaling that caused the latest round.
On the way home, my mom stopped by Walgreens to pick up a prescription. They started to fill the cipro prescription after a nearly two-week delay, but the pharmacist noticed from her file that she’d had a reaction to levofloxacin. He thought it would be too dangerous to give her cipro since it’s in the same family. He said he would call her pulmonologist, whom my mom and I suspected would refer her to the hospital for IV antibiotics.
It was New Year’s Eve, though, so the pulmonologist didn’t respond, which turned out to be another life-saving blessing as it bought me time to research alternatives.
Less than half an hour after I’d left that voicemail for Pierre, he emailed me the protocol for the clinical trial on drug-resistant TB, writing:
I am sorry to hear your Mom is not feeling well and I am happy to provide you with information on the TB study.… What they are doing is treating TB with typical TB drugs plus:
B- COMBINED TREATMENT WITH CHLORINE DIOXIDE AND IVERMECTIN
- Chlorine Dioxide
Oral intake : 3000 ppm CDS 20 ml in 1 lt water, continuous treatment. (In their protocol they also do CLo2 enemas twice a week and also do IV chlorine dioxide which is not possible here, so I think oral and nebulizer will be fine))
- Ivermectin
- 20 ug of ivermectin per kilo of weight (one drop)
- protocol 4 weeks, rest for three weeks and use again.
I immediately ordered NatriChlor, feeling again like my mom had been zoinked from the brink of a gut-destroying course of high-risk antibiotics and a potentially lethal hospital stay.
In my email thanking Pierre, I wrote:
My mom feels like her chronic cough/fatigue has been advancing rapidly over the past couple of weeks. She used to have a window where she felt okay in the mornings, but now she coughs and feels fatigued all the time. It is becoming increasingly difficult for her to function, and I don’t think she feels like she can wait much longer for relief.
She said she is starting to feel like she did before she went into the hospital in 2018, so I think that’s why she is getting concerned and feels that may be what she should do now.
I was hoping the halotherapy would give her some relief, but lying down exacerbated her cough. She did try nebulizing H202 per The One-Minute Cure protocol but could only go five minutes because she was coughing so badly.
The next morning on New Year’s Day, my mom texted me:
My cough has been pretty quiet this morning. Maybe the nebulizer did some good.
I was elated to hear it may have actually helped.
That afternoon, my mom texted:
I was doing pretty good on my cough for most of the day, but it’s starting to bother me now. I probably need to expel some sputum. It’s a daily routine.
That bit of progress from the hydrogen peroxide nebulizing gave my mom sufficient encouragement to hold out for the NatriChlor scheduled to arrive on Friday, January 3, 2025.
On Friday, Pierre texted to ask how my mom was doing. I told him:
She started feeling a bit better on Wednesday morning so wondered if nebulizing the H2O2 had helped!
She felt a bit worse yesterday again so that may be further indication that it did something since she didn’t do anything on Wednesday.
Pierre said “it probably did work” but indicated there wasn’t as much “experience around safety and efficacy” of hydrogen peroxide.
I replied:
Yes, that is my understanding as well and why I wanted to do CDS. I just tried h2o2 out of desperation while waiting for it.
Pierre said that was “totally reasonable,” and I said:
I think it bought us time till chlorine dioxide gets here today.
You’re not going to believe this, but when you check your email, you’ll find I found these same dosing instructions and had emailed you to see what you think. This is getting eerie how we keep thinking in parallel like this 😂
I told Pierre:
Here’s hoping she’ll experience noticeable relief and will keep improving so she stays out of the hospital 🙏
He replied:
i believe she will…
The NatriChlor arrived as expected that day, but my mom and I decided to wait until Saturday so she could begin earlier in the day given she would have to take one dose an hour for eight hours.
In another instance of seemingly miraculous timing, The Universal Antidote documentary director Curious Outlier—who’d only begun posting to his Substack in late December—had launched a How to Use Chlorine Dioxide Substack Series on New Year’s Eve.
Those instructions were nearly identical to the ones I was planning to follow, except they outlined a slower starting protocol I felt would be more appropriate for my mom due to her lupus. I wanted to ensure the transition would be as gentle as possible for her so she wouldn’t get discouraged by detox side effects such as the nausea, vomiting, or diarrhea that can result from the Herxheimer reaction as the body expels toxins.
Below are the instructions I wrote down to summarize our procedure.
Slow-Starting Regimen
Day 1
1/4 drop dose every hour x 8 hours
Make up 4 doses for the first half of the day:
Place 1 drop from each bottle1 into a 32-oz. mason jar.
Tilt jar to the side and swirl 30 seconds.
Add 32 oz. distilled water and swirl or stir with a wooden, plastic, or glass utensil (NO METAL). This will make 4 servings.
Pour 4 oz. into a glass and drink your first dose.
Store remaining 3 servings by covering mason jar tightly with lid (avoid contact between water solution and metal lid).
Set the timer for 1 hour and repeat hourly until remaining 3 doses are consumed.
Make up a new batch for remaining 4 doses for the day (8 doses total @ 1/hour) and repeat above steps.
Day 2
1/2 drop dose every hour x 8 hours
Same as Day 1 except put 2 drops from each bottle instead of 1.
Day 3
1/2 drop dose every hour x 8 hours
Same as Day 1 except put 2 drops from each bottle instead of 1.
Day 4
3/4 drop dose every hour x 8 hours
Same as Day 1 except put 3 drops from each bottle instead of 1.
Day 5
Begin Protocol 1000 (1 drop each bottle + 4 oz. water every hour x 8 hours per day; continue until symptoms are relieved, typically several days for acute infections and up to three weeks for chronic conditions; some people continue taking daily for preventative maintenance)
Protocol 1000
Start with 1 drop MMS hourly for 4 hours.
If that is tolerated, increase to 2 drops MMS hourly for 4 hours.
Next day, work up to 3 drops MMS hourly for 8 hours.
Note: Slow down the progression of drops if detox symptoms (e.g., diarrhea, nausea, vomiting, lightheadedness, fatigue) arise. Always remember the three golden rules:
1) GETTING BETTER – keep doing the same dosing strategy
2) FEELING WORSE OR GETTING SIDE EFFECTS – Reduce your dose by 50%
3) NOT GETTING BETTER – continue to increase dose slowly
What You Need
Glass with measurements for at least 4 oz. (or a separate measuring cup that you pour 4 oz. into and then transfer to a drinking glass)
distilled water
stir with wooden, glass, or plastic utensil (NO METAL)
A friend had also shared an article with a tip about eating an apple fifteen minutes before each dose to minimize nausea. I thought it would be crazy for her to eat eight apples a day (regardless of how many doctors it kept away ;-), so I suggested eating a couple apple slices instead.
I later learned you are supposed to avoid vitamin C and all antioxidants (including coffee, tea, and chocolate) while dosing as they neutralize the chlorine dioxide.
I wrote down the following question, which I intended to ask Dr. Andreas Kalcker, another chlorine dioxide specialist:
Eating an apple 15 minutes before is recommended to reduce nausea, but doesn’t the vitamin C neutralize the chlorine dioxide absorption?
When I mentioned the apple trick to Pierre a few days later, he confirmed my suspicion that it was poor advice:
I think eating an apple is a really bad idea and I suspect it works by mitigating or neutralizing the effects of the CLo2 - I think it is much better to go slow with dosing to avoid nausea. Apples have Vitamin C and other anti-oxidants which counteract with the oxidizing properties of chlorine dioxide. Nowhere in anything ?I have read has Humble or any other expert suggested to eat an Apple, in fact , they clearly say to avoid such substances when taking CLo2
I got this information in time to stop her from eating apple slices starting on Day Four, so only the first three days included that as part of the regimen.
On Sunday (Day Two), my mom had told me her oxygen level, which she’d measured using a pulse oximeter, had been eighty-six. This was worrisomely low. Thankfully, she’d been able to raise it into the nineties by using a spirometer. It kept dipping back down, though, so I asked my mom check her oxygen levels and do the spirometer if needed after her hourly doses.
She replied:
I’ve been coughing a lot so haven’t been doing it, but think it’s beginning to settle down.
On Day One, I’d mixed my mom’s doses to make it as easy as possible for her. For Day Two, she suggested she do it while I watch. Since Day Three was the same dose (half a drop) as Day Two, I stayed home while she handled her mixing and dosing herself.
That was Monday. My mom texted me at 1:45 pm that afternoon:
I’m not feeling too well. My stomach has been upset today. I took my third dose about 25 minutes ago. I’m eating a little lunch right now.
During the first two days, she’d experienced zero side effects—no nausea, diarrhea, or other symptoms warned about from the Herxheimer reaction.
It had been a blessedly soft introduction, so her tummy ache was the first side effect experienced. Fortunately, it didn’t last long. She texted at 4:01 pm:
I’m feeling better now. Only 3 more doses to go! Whew! It seems like I no sooner take one than it’s time for another one!
I spoke to her on the phone shortly after that. She reported with astonishment that she hadn’t had any coughing fits yet that day. We figuratively held our breath while waiting to see how she did that night.
At 7:16 pm, she texted in response to my question about coughing fits:
Still no coughing fits! We’ll see how it goes tonight.
I replied:
That’s so amazing!!! This is the first time you’ve gone this long without a coughing fit in months, right? Let me know how it goes tonight.
She confirmed:
That’s right! I usually have several violent attacks every day. It’s been such a relief for my cough to have been so calm today! The big test will be later tonight.
The morning of Day Four, I texted:
How did last night go? No coughing fits?
You don’t have to eat apples anymore--in fact, you shouldn’t as the vitamin C neutralizes the chlorine dioxide. I had that exact question written down to ask Dr. Andreas Kalcker, but Pierre beat me to it when I mentioned the apple.
She replied a few hours later, saying:
I didn’t have any coughing fits last night, and I didn’t even take my usual cough drops! I slept very well. I must have absorbed some of the CLo2 because something has made me feel better! I had a little coughing fit a while ago and coughed up some sputum, which is good, but it wasn’t as much as usual.
I came over that afternoon and got her going on the three-quarter drop dosage. We watched the first half of The Universal Antidote.
That evening, I asked, “Still no coughing fits?” She replied:
I was coughing quite a bit for a couple of hours, but it was a dry cough. I took a cough drop, and that helped. It’s been quieted down since about 7:00. My throat is feeling better now--not so sensitive.…
Two doses to go. I think I’ll do better tomorrow if I start earlier.
When I talked to her on the phone that evening, I asked about her oxygen levels. She happily reported that they’d been in the nineties.
The next day was Day Five, when she was to begin Protocol 1000 at the full-strength one drop per hour. She started on her own so she wouldn’t get a late start due to my poor sleep schedule.
Since the doses were no longer fractional, it would be easy for her to mix up each dose on the spot. I still planned to visit her to make sure she didn’t have any troublesome side effects from the stronger dose, but she was now confident enough to handle the dosing on her own. Most importantly, she was feeling encouraged by the dramatic progress she’d experienced in such a short timeframe.
Contrast that with how she’d felt a week before when she was so deathly ill, she was considering going to the hospital.
On Day Three, she reported she hadn’t had a single coughing fit the day before—for the first time in seven months. She was able to lie down without coughing—another first. And she didn’t have to take a cough drop at night—a third first. Plus, her oxygen levels had gone from the eighties to the nineties.
Even though she hadn’t even started the full-strength dosing and her absorption had been slightly inhibited by the apple slices, she still underwent a radical transformation that left all of us feeling giddy with excitement—including Pierre.
The evening of Day Three, I texted Pierre this exhilarating news:
My mom is only on Day 3 of the slow starting protocol, and she hasn’t had a coughing fit today!!! 😅😅😅 That’s the first time in months that’s happened, so she is feeling very encouraged by the progress! I wasn’t even expecting results this soon since she’s on such a low dose (1/4 drop/hr. the first day, then 1/2 drop yesterday and today, and 3/4 drop tomorrow). Thank you so much, Pierre!!! 🙏🙏🙏
Pierre said, “excellent,” and I added:
This is so exciting 😅 A week ago, she was feeling so discouraged, she was considering going to the hospital, and then 2.5 days into the slow starter protocol, she has an entire day without a coughing fit.
It truly does feel miraculous, so the MMS moniker is more apt than I realized.
Pierre agreed and noted:
not to get ahead of ourselves, but if things continue this way, I actually would be foolish enough to try to submit it as a case report to some journal. But I would need her culture results and her CT images.
This echoed my own thoughts, once again:
That’s what I was thinking!! I feel like this is a breakthrough for drug-resistant infections like MAI, TB, NTB, etc., offering hope for people who otherwise were consigned to years on multiple antibiotics!
He asked me to “please keep track of all dosing and frequency of doses and any side effects” and “also keep track of daily symptoms as you have been.”
I told him:
Will do. So far, 1/4 drop x 8 for Day 1, 1/2 drop x 8 for Days 2 & 3, and today will be 3/4 drop.
The reference you sent didn’t have the slow starter instructions, so I’m using these.
Pierre told me he uses the fast-track starting protocol, “which is really the same thing as all you have to do is go slower if the first doses are not tolerated.”
I told him:
Good to know, but I wanted it to be as gentle as possible for her because of her lupus and not wanting her to feel discouraged by more intense side effects from the detox.
Pierre said, “fair enough.” That’s when I told him about the apple trick and learned that was a bad idea so was able to stop that before she started Day Four.
When I contemplate how measurably improved my mom was within just a few days, I boggle at how narrowly she escaped a destructive course of antibiotics. Whether it be the hazardous cipro or a two-year course on multiple antibiotics, either route would have ravaged her microbiome and her already-vulnerable immune system.
MMS is an exceptionally safe, unbelievably effective, amazingly cheap treatment that is antimicrobial, antibacterial, antiviral, antifungal, antiparasitic, anticancer, sporicidal, biocidal—all things that sound too good to be true until you witness it firsthand. And everyone can easily self-administer it in their home for pennies per dose.
Now I understand why the pharmaceutical-medical complex is so threatened by chlorine dioxide and hellbent on terrifying the public away from it, even going a step further than their well-worn Disinformation Playbook by preventing clinical trials from taking place altogether.
After I emailed my autodidactic, neurodivergent chemist savant uncle about chlorine dioxide, he wrote:
Clorox bleach is the sodium salt of chorine dioxide but Clorox also contains sodium hydroxide (lye), which is poison, corrosive, dissolves skin & turns it into soap. This is an example of deception by telling the truth. Chlorine dioxide is a bleach. A bleach is anything that oxidizes a dye to its colorless form. Hydrogen peroxide is used for bleaching hair. When people hear the word ‘bleach’ they think of Clorox.
Another example of deception by telling the truth is the tax on hemp. The government was told, ‘Do you realize that the tax would put the hemp industry out of business?’ The reply was, ‘Our position is the tax is to collect revenue.’ That was true; it was their position but their intent was to put the hemp industry out of business.…
Water can be stored by adding a few drops of Clorox. The sodium hydroxide absorbs carbon dioxide & turns into washing soda, which is not harmful to eat in small amounts.
One of my readers asked the following question after reading my Christmas Miracle article:
Thank you for all the wonderful information. [My husband] and I have consumed countless articles from various sources. We are wondering (along with I’m sure many others) the following:
If it kills the bad bugs why wouldn’t it do the same kind of thing an anti-biotic does, and KILL the good bacteria along with the bad?
I replied:
Great question—I had the same one! The answer is the beauty and brilliance of nature: pathogenic bacteria are anaerobic, which means they thrive in environments without oxygen. When you introduce oxygen through CLO2, it kills off the pathogenic bacteria.
Conversely, good bacteria thrive in oxygenated environments, so while the bad bacteria die off, the good bacteria flourish in the presence of CLO2.
Shortly after midnight on January 9, I emailed Pierre a log of my mom’s progress, writing in part:
Wednesday morning (Day 5, started Protocol 1000), my mom texted:
“No coughing fits last night. No cough drops other than the one I mentioned. I felt weak this morning, but I’m feeling better now.… Oxygen levels around 93 mostly.”
I asked her to monitor her oxygen levels more closely as I was very concerned when she told me it was 86 on Sunday (Day 2). She is able to get it up into the 90s by using a spirometer but needs to do that pretty regularly.
Since Day 3, her oxygen levels have been staying in the 90s, so that is another indicator of improvement.
I noticed her oxygen levels appear to increase after dosing. For example, nine minutes after one of her doses on Day 5, her oxygen level was 95. A few minutes later, it had dipped to 92. She was able to get it back up to 95 with the spirometer but just for a short while. 93 seems to be her baseline right now.
On Day 5, she had a small coughing fit with a little sputum shortly after noon and then had a worse coughing fit with more sputum around 3:00 pm. She was feeling worn out after that but better by the evening, so I’m hoping tonight will be her third night without coughing fits or cough drops.
I have been keeping meticulous notes on doses and symptoms so we can closely monitor progress.
That evening, I sent Pierre this update:
Sorry to disturb you so late, but I just got home from my mom’s a little while ago, and I had to tell you that today is the first day in months that when I asked my mom how she was doing, she said, “Good!” She had so much energy, she did tons of cooking and chores and still had energy left after that! Her oxygen baseline today was 95, sometimes up to 96 (10 points higher than it was four days ago). She did have a small coughing fit in the evening and expelled sputum but felt okay after that (instead of worn out like she usually does after her violent coughing attacks). I had her start on two drops today for Day 2 of the Protocol 1000. I’m going to have her do two drops again tomorrow as I want to be there on the days when she increases her dosage, and I have a previous commitment tomorrow, so we decided to wait till Saturday to increase to three drops. Then I think I’ll give that two or three days before starting the nebulization (I did get the instructions and watched the video, thank you). I want her to be improved enough that inhaling for the nebulization doesn’t trigger coughing if possible as that’s what happened when she nebulizer the H202.
Pierre replied:
Since she is feeling so much better and is steadily improving, one of the principles I follow is “dont fix what aint broke” …
Basically, when a patient is on a positive trajectory, they will continue on that trajectory as long as you keep doing what you are doing
I told Pierre:
I’ve been thinking about the crisis of antibiotic-resistant superbugs thanks to the overprescription of antibiotics over the years and realized MMS might just save humanity as antibiotics become increasingly less effective.
MMS is such a significant medical breakthrough, it dwarfs the discovery of antibiotics by comparison as it is not only antimicrobial but also antiviral, antifungal, anticancer, and anti-bad everything that threatens life and health. Even more amazing, it doesn’t destroy good bacteria like antibiotics do and healthy cells like chemotherapy does but instead helps them flourish.
MMS may the greatest threat to the Big Pharma-medical complex in history.
That said, most people will never even consider it because of the propagandizing and censorship.
They will never believe something that sounds too good to be true *is* actually true.
Pierre said:
agreed. One tiny concern remains about the future of MMS though. If it were ever to be adopted for widespread use, it would eventually run into resistance from organisms. Every antimicrobial in history has always led to bacterial resistance. but for now in these dark times it would be the ultimate savior
On January 10, my mom texted me:
Last night went well. A little coughing, but not bad. No cough drops. I felt good this morning and did some work … I’m coughing some this afternoon, but that’s normal. No attacks though so far.
By the next day—one week into her protocol—my mom’s oxygen levels were up to 96–97.
After attending church on Sunday, January 12, my mom was elated to report:
I made it through church without a cough or a cough drop!
On January 14, my mom reached an oxygen level of 98 and did the stair-stepper for fifteen minutes. She had also gained nearly three pounds, which was a major milestone since she had been wasting away and losing weight for months.
This progress continued over the coming weeks. On January 21, when I asked my mom how she was feeling, she replied:
GOOD! I’m doing good! I slept good last night. I just did my exercises.… I feel so much better in the mornings.
I shared this with Pierre, saying:
It was the best I’ve heard her sound in months. She said she slept well and she’d just done her exercises (that’s another marker as she hadn’t felt up to doing her exercises for a while). She says she feels *so* much better in the mornings. She starts feeling worse in the afternoons and evenings (still better than before), so I told her to go to four drops today and do that for a few days and then go up to five and so on based on tolerance.
My mom found her tolerance level was three drops, so she stuck with that. While I was talking with her on the phone on February 2, she said, “Yesterday, I didn’t cough up any sputum at all, and that was first day.”
A few weeks into her protocol, my mom developed a taste intolerance for the MMS. She was also having trouble fitting meals in due to having to dose hourly for eight hours, so she was starting to lose weight again.
We decided to add both nebulizing and baths with MMS while stirring Sweetleaf drops into her oral doses to cover the taste. I outlined my proposed treatment plan to Pierre on February 18:
1) Tonight, start bath protocol: 100 drops, soak 20 minutes; do that 2x/day.
2) Tomorrow, start hourly dosing with 4 drops (+ Sweetleaf drops to cover taste [since I read Stevia is okay to mix in, I’m going to have her try these before we resort to dropping the activator]), but leave a longer gap for lunch so you can get a large meal in.
3) Start nebulizing 3x/day as soon as I can get over there to walk you through it.
4) Apply DMSO to back with roller once I can come over and test a small patch first.
5) Add DMSO to oral dosing, starting with 1 drop, then working up gradually to 2, 3, and then 4 to match the MMS dosage according to tolerance level.
My mom felt really sick (fatigue, coughing, achy, blah) today, I’m guessing from being off MMS for a few days. Hopefully, she’ll bounce back after doing the bath tonight and resuming her dosing tomorrow.
My mom started her bath protocol on February 18 as planned. Then on February 20, she added nebulizing per these instructions by Curious Outlier.
As I was talking with my mom the day she began nebulizing, she started laughing really hard. I asked her, “Do you realize you just laughed without coughing?”
On February 21, my mom wrote me:
I’m doing well. I just took a little nap, which felt great after a busy morning. My cough is still doing well. I nebulized around noon and it went well. It does make me cough a bit and bring up sputum, but I think that’s beneficial.
I hope you had a good, long sleep last night. Thank you for helping me with the nebulizer and everything. I’m really feeling like I’m starting to get well. I hope so!
I shared this text with Pierre, writing:
Yesterday, my mom came over, and we did her first nebulizing session. She coughed a little but then got out some sputum, which is good. She said she thinks the baths are helping, too, because she started feeling better again right after starting those. She really likes using the strawberry-kiwi Sweetleaf (just a tiny bit) to cover the taste for her oral doses, and it has citric acid in it so could even be used as an activator if needed (but she’s fine w/ the HCL now). She’s been able to get some bigger meals in now that she’s spacing out the oral doses more for lunch, so I’m hoping she’ll start putting weight back on, too.… All these new changes have made a big, almost immediate difference.
By February 22, she was feeling improved enough that she decided to reduce her oral dosing. At that point, she was doing one MMS bath/day and two nebulizings/day. Her oral dosing comprised drinking the leftover MMS nebulizing water.
On February 25, she texted:
I just came in from outside. I pruned some roses and pulled some weeds, as much as my back could stand. I know I’m better because I was able to bend over without coughing! … I’ll try to do better and nebulize 3 times today. I think it helps to clean out my lungs.
Three days later, she wrote:
I’m doing pretty well. I feel like my cough is coming real close to being healed!! It’s so much better than it was! I’m going to nebulize as soon as I finish this text.
By March 1, she was nebulizing three times a day and doing an MMS bath every other day; she’d stopped oral dosing a few days before. While we were talking on the phone that day, she told me:
I feel like my cough is almost gone. It’s just amazing to me. I was on a plateau for all this time, and I started doing the baths and the nebulizer and started really healing.
I said, “That’s so wonderful!” She replied:
Oh, it is! I feel so much better! I have a little energy. It’s incredible.… It’s been a long journey. I wasn’t sure if I was going to make it.… I’m not coughing very much except when I start the nebulizer, and it’s just at the beginning. I’m not coughing any sputum up the last couple of days. My throat gets a little clogged, but it’s not like all the mucus I was coughing up before.… And my oxygen was 98!
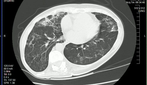
My mom had a chest CT scan prior to starting her alternative treatment. I mailed a disc of the files to Pierre as he’d graciously offered to review them. On March 13, he texted me:
looks like classic MAI given heavy involvement of right middle lobe and left middle lobe (lingula), but also had more diffuse involvement in lower lobes supporting why she was so symptomatic - generally, with only RML and lingula involvement, patients dont have symptoms.. hers became a more diffuse infection
On March 18, I accompanied my mom to her pulmonologist’s appointment. Afterward, I reported to Pierre:
I wanted you to be the first to know my mom’s appointment went amazingly well! 😅 My mom was soooo nervous (her blood pressure was 166/80 😬). She said she’s never done anything like this before and has always followed doctor’s orders. I told her I’m a pro at defying orders so to leave it to me 😹 Dr. L— was actually very open-minded, not at all defensive, and completely supported our decision to do what we felt was best for my mom. We laughed at how worried my poor mom was about upsetting him, and that helped put her at ease. I’ll follow up with more details via email but just wanted to let you know all went smoothly, and she’s going to get a CT scan and do sputum cultures to test for both MAI and pseudomonas.
Later, I emailed him this synopsis:
I’ve only gotten four hours of sleep and my eyes are giving out, so I’m going to try to be uncharacteristically succinct ;-)
Pseudomonas: Dr. L— clarified that he didn’t think this was causing her chronic cough. He just wanted to treat it quickly because he was worried it was going to colonize her lungs due to her immunocompromised state. He thought it might be an acute infection on top of whatever was causing her chronic cough.
MAI/Lady Windermere syndrome: After I explained our suspected diagnosis and read him your notes on the CT scan imaging, he said, “I actually agree with his assessment.” He, too, suspected NTM based on the CT scan, and that’s why he did the bronchoscopy, although he seemed to think the negative culture ruled that out. I shared your stat that only 50–80% of MAI cases have positive BAL cultures, and he acknowledged that and agreed we should do sputum tests as he still suspects NTM, too. He originally wanted to do a sputum test in December, but my mom couldn’t get any out at the time because it was more of a dry cough. Now that the chlorine dioxide, nebulizing, and baths are all helping her produce more sputum, she should be able to do the collections.
Chlorine dioxide: It helped that he didn’t know what chlorine dioxide is (he wrote “chlorine oxide” in his notes 😆 I had used water purification tablets as an example of its use, so his notes reflect his assumption that we were using those since we didn’t discuss specific applications) so hadn’t been prejudiced against it by propaganda. He couldn’t argue with the results, and he was impressed by how much better she is doing. Her oxygen was 98, and he said her lungs sounded good.
Diagnostics: He ordered a CT scan and gave my mom six bottles for sputum collection. He said they need to be 8 hours apart, and she has to get the specimen to the hospital within 2 hours, so she only has to bring one a day. Hopefully, that will be sufficient to identify MAI.
Nebulizing: He was happy to hear my mom already has a nebulizer and has been nebulizing (I don’t think he realizes it was chlorine dioxide in there and probably assumed distilled water). He wants her to nebulize hypertonic saline, and I believe we can just add that to the chlorine dioxide solution, right? Do you have any recommendations on which percentage to get (I found 3%, 6%, and 7% on Amazon)? He wants her to get an acapella to blow into 10–20 times after nebulizing to help with airway breathing clearance.
Follow-up: Her next appointment is scheduled for May 6. We’re hoping the AFB results will be back by then. He said if pseudomonas is still present, he will recommend antibiotics again, but I told him I’m confident it will be gone from the chlorine dioxide so we shouldn’t have to worry about it :-) Previously, he had given my mom a choice between cipro at home or hospital IV, but this time, he offered a third option of administration of a non-cipro/levofloxacin antibiotic at an infusion center, which is preferable, but I still have no intention of letting my mom go through that, and I don’t think it will be necessary because the chlorine dioxide likely wiped out the pseudomonas.
I then shared the pulmonologist’s After-Visit Summary Notes, noting “the 86 to 96 oxygen increase refers to my telling him her oxygen went from 86 to 96 within 4 days of starting treatment, but her actual baseline oxygen has been 97–98 for the past few months since that initial jump and was 98 today”:
3/18/2025 visit
Since last visit, patient had bronc BAL and result came back positive for Pseudomonas however patient has allergy to levofloxacin and pharmacy refused to fill ciprofloxacin given her allergy, she offered to go to the hospital and get infusion but she declined and remained without treatment. She is here today with her daughter. Daughter had a friend who is a pulmonologist in New York. The daughter discussed her mother’s condition with him. I agree with his thoughts the imaging is more classic for NTM which was the reasoning behind doing the bronchoscopy as she was unable to produce sputum however, I disagree that Pseudomonas should not be treated as this is an opportunistic infection and should not be in normal airways and likely it was acute infection on chronic tree-in-bud and consolidative changes likely with underlying NTM although was not detected on BAL. He mentioned to the daughter about an NTM treatment trial … with a chloride oxide tablet. She started the tablet since January and feeling much better since then. She is nonagitated, her oxygen saturation is better up from 86 with exertion to 96. Cough improved significantly energy level is up. Nebulizer treatment and able to cough up some sputum now.
On April 12, my mom had a follow-up CT scan. The report reads in part:
IMPRESSION: Unchanged multifocal interstitial and groundglass opacities as well as scattered tree-in-bud nodules and calcified granulomata. Findings are compatible with sequela of prior granulomatous disease versus atypical mycobacterial infection. No evidence of progressive pulmonary fibrosis or other suspicious short interval change.…
LUNGS/PLEURA: Again seen are multifocal interstitial and groundglass opacities as well as scattered tree-in-bud nodules with a lower lung predominant distribution. Mild emphysematous changes also present. Scattered subcentimeter pulmonary nodules are not suspiciously changed from prior, many of which are calcified compatible with benign granulomata. No evidence of progressive honeycombing or bronchiectasis. Segmental atelectasis in the right middle lobe is unchanged. No pleural effusion.
I texted my mom:
I’m reading his notes at MyChart, and it doesn’t sound like it’s that much different from before. It says “unchanged” for a lot of the observations. I’m going to copy/paste these notes to Pierre and see what he thinks. The important thing is you FEEL better, your oxygen levels are improved, your energy is better, and you are making progress in ways that make a difference in your daily life.
In the weeks following her pulmonologist’s appointment, my mom only succeeded in collecting three of the six sputum samples for testing since she was feeling better and had less sputum. She did test positive for Pseudomonas again, but the result read “2 + Pseudomonas aeruginosa”—as contrasted with the “10,000 CFU/mL Pseudomonas aeruginosa” from the previous test on December 16, 2024. The pulmonologist couldn’t tell me the differential between these measurements, but we took it to indicate a reduction. He still wanted her to do heavy-duty antibiotics to combat the Pseudomonas, but we resisted, and he respected our decision.
When I told Pierre about the Pseudomonas results on March 26, he said:
not sure what to make of that but I wasn’t concerned about pseudomonas before and I’m still not…
I told him:
I’m guessing the MMS is working but is taking a while because pseudomonas is so stubborn.
That’s what I thought, but thanks for confirming! This is what I told my mom before I got the count, “Remember, pseudomonas isn’t causing your cough, and you’re not experiencing clinical symptoms of an acute infection, so it can be resident without causing problems as it is in numerous people.”
Pierre replied:
agreed. The fact that it still there does not mean that it’s resistant to pseudomonas, there is no organism resistant to [chlorine] dioxide, it just means that the dosing that we’re using in the nebulizer may be insufficient or she’s not doing it enough, but I wouldn’t change what she is doing if she’s feeling better.
I could see if he wanted to treat it if the number of colonies had drastically increased, but it sounds to me like they’ve actually decreased so I don’t know why she needs treatment if it was a problem and causing issues it would be marching on and increasing in number
Oddly, the AFB culture and smear from the sputum samples did not indicate a mycobacterial infection. On May 6, I texted Pierre:
My mom got the AFB results for three of her samples, and they are all negative 🤷♀️ The first one was discontinued at 3 weeks due to bacterial growth, so that doesn’t count. The second said no AFB isolated at 6 weeks, and the third said no AFB isolated at 8 weeks. I don’t know why they reported at 6 weeks and didn’t wait for 8. I think she has one more sample awaiting results. She hasn’t been able to get any sputum out for a few weeks since the MMS has been so effective, so that’s probably it for samples.
Pierre replied:
I saw the culture results in the email, but if she’s doing well, I think they should be ignored.
This echoed an adage he had shared on April 18:
There is an adage medicine, which goes “there is a picture and there is a patient.” the patient is much more important than the picture. Meaning we shouldn’t really care what the CT looks like if she is feeling better.
While I was talking with my mom on the phone on May 15, she said:
I feel like I’m getting better. My coughing attacks are a lot shorter now. They used to last half an hour, 45 minutes, now it’s just a few minutes. Slowly but surely.
On June 4, my mom started doing foot soaks instead of baths as they are easier to incorporate into her routine. I told Pierre on June 6:
[A nurse friend] also came up with a great protocol idea I haven’t seen before. She suggested doing an MMS foot soak since the feet supposedly absorb at a higher rate due to the richer blood supply (I haven’t had a chance to research and confirm this). My mom started doing foot soaks the other day and thinks it may be helping. It’s a less obtrusive way for her to incorporate dosing so may help her get more MMS. She started with 15 drops but isn’t sure how much water she’s using (she guessed a gallon or two) so didn’t know what the exact ratio is.
Oh, and she’s including DMSO in the foot soaks.
Later that month, she started applying LifeWave X39® Patches. On June 25, I told Pierre:
I also wanted to let you know my mom started on the LifeWave X39 phototherapy patch a few days ago and has already noticed a boost in her energy levels and a reduction in her cough.
On July 5, I asked Pierre:
Do you think it’s still accurate to say my mom has Lady Windermere syndrome? … I’m not sure if it’s still right to say LWS or if I just say NTMB. I know I should avoid saying MAI since we haven’t been able to confirm that specifically.
Pierre clarified:
I think saying lady Windermere is fine but can mention it is not classic or definitively proven but the clinical and radiographic imaging are consistent
NOT Definitively proven as MAI but almost certainly NTMB
On September 9, my mom texted this exciting news following a doctor’s appointment:
I’ve gained 4 lbs since the last time I went! I’m so glad I’ve been gaining some weight at last! I’m hoping that means I’m getting better. 🙏
I said:
How wonderful that you’ve gained 4 pounds!! That is a huge milestone as you’ve been losing and losing for the past year! You not only stopped that pattern but reversed it!
She said:
Yes! I’m very excited about it!
My mom got another CT scan on November 8, and the gist was, “Findings not substantially changed.” I shared the report with Pierre on November 12, and he noted:
All I can say is that imaging is much less important than her current clinical status. That is all that matters. I don’t believe that imaging will change appreciably unless something major happens or there is worsening in her clinical condition
He then clarified:
the goal is not to change your imaging, it’s just to change her health and functioning
During that exchange, I updated Pierre on her latest protocol:
Right now, she nebulizes 2x/day and does a foot soak w/ MMS and DMSO in the evenings, I believe. She also started adding back an oral dose with 3 drops sodium chlorite + 9 drops DMSO.
My mom had a pulmonologist’s appointment on December 2. Dr. L— listened to her lungs and said there were no crackles or wheezing. He said since her imaging is stable and she has improved clinically, he will downgrade her treatment to monitoring her annually with a CT scan and exam. He seemed impressed with the results of my mom’s alternative treatment and felt she should continue doing what she’s doing since it’s working so well.
He wrote in his clinical notes for that appointment:
She is feeling better than last visit, the cough has significantly reduced, not much sputum production and definitely not as darker in color and now it is clear. Her energy is better. She had repeat CT and here to follow-up on it
As I was drafting this article, I asked my mom if she had any notes on her progress over the past year that she’d like me to share. She sent me the following timeline from a journal she’s been keeping on her treatment:
Jan 4 Started MMS treatment
Feb 18 Started bathing in MMS
Feb 20 Started nebulizing MMS. Began to feel better
March 18 Started nebulizing saline also
June 4 Started adding DMSO to baths/foot soaks
June 10 Weighed 104
June 20 Started X39 patches
Aug 8 Started [raw-milk] yogurt
Sept 1 109 lbs
Oct Started adding DMSO to nebulize
Dec 2 112 lbs; no more scans and doctor appointments for a year!
Dec 23 Still getting coughing attacks, but not nearly as often and not nearly as severe—maybe once or twice a day. Not bringing up a lot of mucus now. Feeling a thousand times better than I was a year ago!
Although I didn’t go into detail about this above, my mom noticed improvement once she began adding DMSO to her baths and foot soaks as well as adding a drop to her nebulizing solution. A Midwestern Doctor is probably the world’s foremost expert on the many conditions that benefit from DMSO, including respiratory diseases.
Please educate yourself prior to using DMSO, however, as its ability to permeate the skin means it will enhance the absorption of anything that comes into contact with it (make sure your skin is clean or whatever is on your skin is something you want to absorb for healing purposes) as well as anything taken internally (e.g., medication) around the time of dosing.
As my mom notes in her timeline, she started consuming raw-milk yogurt from a local farm on August 8, and she thinks that has helped with both her gut health and weight gain. I recorded her weight as 102 pounds on February 25, and she was back up to 112 pounds by December 2.
Another thing we discovered over the course of the past year is that her lungs seem to go through a cyclical process in which sputum builds up, she has a couple rough days while expelling more sputum, and then she feels much better and continues on her healing trajectory.
While her condition remains something of a mystery since we have been unable to obtain a respiratory culture confirming a mycobacterial infection (MAI/MAC), it does still match the criteria for Lady Windermere syndrome and is likely atypical NTMB.
In yet another demonstration of his selfless humanitarianism and kindness, Pierre took the time to write up the following synopsis2 this Christmas morning:
Anyone who has tried to diagnose and treat a patient with suspected NTMB (non-tuberculous mycobacterial infection) knows what difficulty that can bring. First, the diagnosis: even when bronchoscopy is performed and bronchoalveolar lavage samples are taken with care, the organism often remains elusive. Cultures come back empty, or equivocal, or intermittently positive, yet the patient is clearly sick and whose symptoms and radiography present classically for such infections. The frustration comes from an often low organism burden or uneven distribution within the lung, or nodular–bronchiectatic patterns that shed unpredictably. In cases such as this one, it makes many doctors uncomfortable having to make the dreaded “clinical diagnosis” without a damn test telling you what it is and what to do—the way medicine was practiced long before microbial confirmation became the gold standard. Here, you just have to read the imaging, listen to the chronology, weigh the risk profile, and follow the patient longitudinally. Which is what was done!
But on any standard pulmonary timeline that I have known with this disease, the clinical turnaround was striking because suspected NTM/Lady Windermere–pattern disease sits in the category of “slow, stubborn, relapse-prone.” In conventional practice, it’s commonly approached with prolonged multidrug therapy (often a macrolide-based combination with additional agents), for many months to a year or more, and even then, although the cultures can clear and symptoms might lessen, imaging can lag behind clinical status and relapse, or reinfections are common! I have learned that the disease is more one that you manage rather than cure in many cases (and the management typically sucks, to put it mildly).
And that is because the drug combinations are rough on patients - GI intolerance, fatigue, taste changes, hepatotoxicity monitoring, drug–drug interactions, and the complaints of having to take so many antibiotics all the time. I learned to call it a “disease of the medicines” rather than of the organism.
So it was with tremendous satisfaction that, with the regimen of MMS they initiated, I was able to follow along and witness her course of rapid symptom relief, sustained functional recovery, normalization of oxygenation, return of sleep, and weight gain. Finally, to hear of her pulmonologist de-escalating to annual monitoring is just wild. Way to go, MAA!
While my mom has spent the past year healing, Pierre has been working on a book with his War on Ivermectin coauthor Jenna McCarthy to help educate the public about the miraculous molecule of chlorine dioxide. You can preorder The War on Chlorine Dioxide here, and it will ship in January. Note that it can only be ordered through this website and will not be available on Amazon or anywhere else.
After witnessing my mom’s miraculous MMS metamorphosis, I now keep my medicine cabinet stocked with Natrichlor and begin dosing the instant I feel sick. I usually only need to take a few doses before I feel well again.
Last spring, chlorine dioxide rescued our cat Secondo from almost certain death. As I told Pierre in a comment:
I think MMS may have saved our FIV+ kitty Secondo’s life. He has been extremely ill with an upper respiratory infection and secondary eye infection for nearly two weeks. I was only able to give him two doses of antibiotics (for his eye infection) before he stopped eating and drinking entirely. He got so dehydrated, I was afraid he was going to die. I’d shared his previous scare with a URI in a post several months ago, but this was much worse because of the eye infection causing his right eye to get encrusted. I was afraid that was going to happen with his left eye, too, and he’d lose sight in both eyes and also be unable to smell because of the URI.
Then he disappeared for an entire day, and I was terrified he had gone somewhere to hide and die. But then he showed up the next day, to my amazement and elation, although still very lethargic and uninterested in food or water.
I remembered reading (maybe in one of your articles?) about studies where sick animals, when given the choice between regular water and MMS water, chose MMS water. I started giving him bowls of MMS water (1 drop for 4 oz. initially, but I made it 1 drop for 8 oz. in later doses in case that was too strong). The day I did that is the day he turned the corner from the brink of death.
He cleaned the gunk off his right eye that night and was able to open it again after it had been sealed closed for over a week. The next day, he was more energetic and alert. Then the next day, I saw him drinking the MMS water for an extremely long time. Later, he started scratching the bush root like a scratching post and started showing interest in food. He came to the patio that night for food for the first time since he’d gotten sick. I still haven’t been able to get him to eat (I’ve tried tuna, wet food, dry food, treats, etc.) because he hasn’t regained his smell yet, but he has his appetite back, and he no longer looks dehydrated, so I’m confident he’ll be fully healed and eating again soon.
Thank you for helping to save yet another life, Pierre!!
I now put MMS or sodium chlorite in all our kitty water bowls as a preventative measure. Pierre has documented other astonishing feline successes such as healing the Abyssinian Pearl’s “chronic gastrointestinal, respiratory, and ocular disease.”
For yourself, your loved ones, and your animals, please consider keeping Natrichlor on hand so it’s available the instant anyone feels ill. Below are a few resources where you can learn more before embarking on your own wellness journey:
My mom’s experience is a reminder that doing your own research can mean the difference between life and death, thriving and suffering. Don’t automatically follow doctor’s orders, especially when your gut tells you otherwise. How many millions of medical-pharmaceutical complex casualties and chronic health catastrophes could have been averted if people had taken ownership of their health and pursued natural alternatives like chlorine dioxide, DMSO, and ionic minerals?
Not only have I watched my mom reclaim her health over the past year, but she has gone from shy “good girl” doctor-follower to empowered noncompliant Badass. Each time she flexes her “No” muscle, it grows stronger—as does she.
Disclaimer: I am not a doctor, and nothing I have written in this article or elsewhere should be construed as medical advice. I am merely relaying the experience of my mother while undergoing an alternative therapy protocol. As with everything, do your own research, vet the evidence, and heed your intuition.
© Margaret Anna Alice, LLC
🌟 You Are My Christmas Miracle 💫
The only reason I can spend every possible second writing, researching, producing videos, collaborating, nurturing our karass, living my cheng, and battling tyranny is because of the 1.17 percent of you who are kind enough to support me. Thank you with all of my being for that tangible expression of your appreciation for my work.
When you subscribe, you gain access to premium content like Memes by Themes, Afterthoughts, podcasts, Consequential Quotes, Case in Point, Behind the Scenes, personal writings, and bonus articles.
This has been a particularly challenging month financially, and losing $2,844 in annual Substack income over the past thirty days hasn’t helped. If you have ever considered supporting me, I would be grateful if you would do so now as I am still trying to scrape together enough to pay end-of-month bills. Thank you, dear readers, for helping our thirteen kitties and me survive 💓
🎁 Personal Gift
If you would like to snail-mail me a tax-free personal gift, please DM me on Substack or reply to any of my newsletters for details.
😇 Become a Founding Member
If you take the extraordinary step of becoming a Founding Member, you will enjoy benefits such as:
signed & personalized copy of Canary in a Covid World—your choice of Volume 1 or Volume 2
special gifts
select typeset PDFs
Zoom or phone call, depending on your preference
I especially want to thank those of you who have taken the time to write a private message to me when you subscribe. I read and cherish each note.
Thank you for being part of our karass of brave, brilliant, kind, and witty thinkers.
🙏 Shoutouts Gratitude
🛒 Spread the Words
If you would like to help propagate the message that Mistakes Were NOT Made, you will find a wide selection of products in this collection.
📖 SAVE on Signed Copies of My Fairy Tale Book!
I am currently running a sale on signed, personalized copies of my fairy tale, so now is the time to buy copies for yourself and as gifts. Message me on Substack or reply to any of my newsletters to place an order.
📚 Anthologies
Canary in a (Post) COVID World: Money, Fear, & Power (Hardback, Paperback, Kindle)
Canary in a Covid World: How Propaganda & Censorship Changed Our (My) World (Paperback, Kindle, Audiobook)
Yankee Doodle Soup for the Fringy, Tin Foil Hat–Wearing Conspiracy Theorist’s Soul (If you enter the code ALICE at checkout, Jenna will give me a royalty 🙏)
🐇 Follow Me on Social Media
⏰ Wake-up Toolkit
My Wake-up Toolkit is a great way to get acquainted with my content. I’ve organized my articles by topic for easy reference and use in your red-pilling efforts as needed. Note that I have not been able to update this since June 2024 due to a technical issue, so check my archive for more recent additions.
🌟 WARM GRATITUDE FOR THE RECS!
The single-most important driver for new readers joining my mailing list is Substack Recommendations. I want to thank every one of you who feels enthusiastic enough about my Substack to recommend it, and I especially appreciate those of you who go the extra mile to write a blurb!
Remember, a subscription to Margaret Anna Alice Through the Looking Glass makes for an intellectually adventurous gift down the rabbit-hole!
Note: Purchasing any items using Amazon affiliate links included in my content will further support my efforts to unmask tyranny.
I have since learned that you can just use Bottle A (sodium chlorite) by itself if you are oral dosing as stomach acid serves the role of the acid activator. This is much easier to ingest as it does not have the chlorine odor and taste imparted by the acid activator in Bottle B (hydrochloric acid).
For more clinical details, below is a patient summary from Pierre based on an AI analysis of this post:
Patient: 74-year-old female
PMH: severe scoliosis, autoimmune disease (lupus/Sjögren’s/Hashimoto’s), chronic fatigue
Risk profile: consistent with Lady Windermere pattern (thin, elderly, never-smoker)
Subjective
Presented one year ago with chronic cough with recurring severe attacks, causing exhaustion on a background of recent chronic fatigue, weight loss, non-toxic appearance. Cough and fatigue initially mostly in the morning now progressing throughout the day, leaving patient exhausted. Mild hypoxemia noted. Cough episodes associated with exhaustion, post-tussive fatigue, inability to lie flat.
Initially diagnosed as pseudomonas infection, however sub-acute chronology and imaging most suggestive of NTMB, specifically MAI. Patient deferred anti-bacterial therapy with ciprofloxacin and embarked on a chlorine dioxide therapy prototcol with the assistance of her daughter and some general guidance from this writer.
Clinical Course After Initiation of Chlorine Dioxide Protocol
Rapid reduction in cough severity within 48–72 hours
First full day without coughing fits by Day 3
Ability to lie flat without cough returned
Sleep normalized; no nocturnal cough
Marked reduction in cough frequency and duration
Initial increase in sputum expectoration followed by progressive reduction
Energy improved; resumed ADLs and light exertion
Appetite improved; weight gain over subsequent months
Progressive improvement in exercise tolerance
No significant adverse effects reported beyond transient mild GI discomfort early in course
O — Objective
Initial SpO₂: documented nadir ~86% (rest/exertion)
Post-treatment SpO₂: improved to 92–95% by Day 3–4, later stable at 97–98%
Lung exam (follow-up): no crackles, wheezes, or focal findings
Weight: gradual gain (~10 lbs over one year)
Imaging (CT chest):
Tree-in-bud nodularity
Middle lobe and lingular predominance
Multifocal interstitial/ground-glass changes
Stable over serial imaging
Microbiology:
BAL positive for Pseudomonas aeruginosa
AFB sputum cultures repeatedly negative (limited sampling due to minimal sputum production)
Functional capacity: able to exercise (stair stepper), attend church, garden, perform household tasks without cough
A — Assessment
Chronic cough with imaging consistent with non-tuberculous mycobacterial disease (NTMB)
Clinical and radiographic pattern consistent with Lady Windermere syndrome
Subacute/chronic course inconsistent with pseudomonas as primary etiology
BAL positivity for pseudomonas likely colonization or secondary finding
Microbiologic confirmation of MAI not achieved, but clinical syndrome consistent with NTMB
Mild chronic hypoxemia — resolved
Rapid normalization of oxygen saturation following initiation of protocol
Weight loss and functional decline — reversed
Marked clinical response to chlorine dioxide–based protocol
Rapid symptom resolution
Sustained functional recovery
Objective improvement corroborated by oxygenation and clinician exam
No exposure to prolonged multidrug antibiotic therapy






























Merry Christmas my friend.
And blessings top your mom.
I read with great interest.
A very strange flu is going around here in Italy. It has bizarre symptoms, it never gets better, it seems like it was created in a lab. I resolved it in 24 hours with the CDS F protocol, but a bad cough remained.
Now I'm switching to DMSO aerosols.
Do you happen to live near any military research laboratories?
Do you also use the famous chemtrails to "control the weather"?
If Trump doesn't hurry up and put a stop to this madness (if he puts a stop to it in America, it'll stop it in the rest of the world too), we'll be left with only a few and very battered.
Hugs and best wishes for your mother, and may Jesus protect us all.